矯正はまだ早い!? 3~5歳に考える子どもの歯並び

愛知県東海市にある、小児歯科・矯正歯科を専門とするきらめきデンタルクリニックです。
「下の歯が前に出ている気がする」
「顎が出ているように見えるけど、まだ小さいし大丈夫?」
きらめきデンタルクリニックに通う親御さんから、こうしたご相談を多くいただきます。
実はこの状態、【 反対咬合(はんたいこうごう) 】と呼ばれる不正な咬み合わせのひとつで、3〜5歳の乳歯列期から対応が必要なケースがあります。
このコラムでは、
・子どもの反対咬合とはどのような状態か
・なぜ早めの対応が大切なのか
・3〜5歳から始める乳歯列矯正の考え方
について、わかりやすくお伝えします。
「治療が必要なのか」「いつから始めるべきか」でお悩みの親御さんに、ぜひ参考にしていただきたい内容です。
反対咬合(受け口)とは?
「しゃくれ」「顎が出ている」と言われる状態
反対咬合とは、上下の歯の咬み合わせが逆になっている状態を指し、【 受け口 】【 下顎前突 】とも呼ばれます。
本来は上の歯が下の歯を覆うように咬み合いますが、反対咬合では
・下の歯が上の歯より前に出ている
・下顎が前に突き出て見える
・「しゃくれ」「顎が出ている」
といった特徴があります。

子どもの反対咬合の原因とは?
子どもの反対咬合は、ひとつの原因だけで起こることは少なく、多くの場合、
骨格(主に遺伝)+ 歯の位置や生え方の問題 + 生活習慣やクセ
が重なって生じます。
① 骨格的な原因(骨格性)
-
上あごの成長が弱い
-
下あごの成長が強い
-
ご家族に受け口の人がいる
このような場合、骨格の特徴を受け継ぐことがあります。
② 歯の生え方・並び方の問題(歯槽性)
-
前歯の生える向きが内側に傾いている
-
下の前歯が前に倒れて生えている
-
乳歯の位置や交換時期の影響
あごの骨に大きな問題がなく、歯の位置や傾きが原因で反対咬合になることもあります。
③ 生活習慣・クセによる影響
-
舌が前に出るクセ
-
口呼吸、ポカン口
-
頬づえ、うつぶせ寝など姿勢の乱れ
-
指しゃぶり
これらは、顎や歯に偏った力がかかり、咬み合わせのズレにつながります。
子どもの反対咬合を放置するリスク
「そのうち治る」は注意が必要です
「永久歯に生え変わるまで様子を見よう」
子どものうちは症状も軽く感じ、様子をみてもいいのではと思われがちですが、反対咬合は自然に治らないケースも多い咬み合わせです。そのままにしておくと、将来次のようなリスクが生じる可能性があります。
① 顎の成長バランスが崩れる
成長期に下顎が前方に成長し続けると、骨格性の反対咬合(大人の受け口)につながる可能性があります。
② 発音・滑舌への影響
「サ行」「タ行」などの発音が不明瞭になり、言葉の発達やコミュニケーションに影響することもあります。
③重症化すると外科的治療を伴うことも
子どもの反対咬合は、放置することで症状が進行し、大人になってからの治療が難しくなる場合があります。この段階になると、歯の位置を動かす矯正治療だけでは改善が難しく、「外科的矯正治療」が必要になるケースもあります。
早めに対応するメリットとは?
3〜5歳だからこそできる乳歯列矯正
乳歯列期の矯正は、歯を大きく動かす治療ではなく、顎の成長やクセを整えることが目的の治療です。
早い時期から対応することで、あごの成長を利用した負担が少ない治療を行うことができます。
早期対応の主なメリット
✔ 顎の成長を正しい方向へ導ける
成長途中のため、無理なく自然に改善しやすいのが最大の利点です。
✔ 将来の矯正の負担が少なくなる可能性
早期に土台を整えることで、小学生以降の大掛かりな矯正や外科的治療を回避できることもあります。
✔ 正しい舌の使い方・呼吸が身につく
舌が前に出ているクセや口呼吸の改善は、歯並びだけでなく全身の発育にも良い影響を与えます。
子どもの反対咬合はどう治す?
3歳まではトレーニングと生活習慣の見直しで改善
きらめきデンタルクリニックでは、反対咬合と診断された場合、3歳以下の年齢であれば、指押しトレーニングと生活習慣の見直しで改善をはかります。
これは、顎の成長がとても活発な時期だからこそ可能なアプローチです。
指押しトレーニングは、上あごの成長を促し、受け口の改善を目指すトレーニングで、矯正装置を使わず、ご自宅で行える方法です。
トレーニング開始後は、2週間〜1か月ごとに変化を確認しながら進め、おおよそ半年間の経過を見て、改善の評価をおこないます。
3歳ごろまでの顎の成長期においては、この指押しトレーニングと生活習慣の見直しによって、実際に反対咬合の症状が改善されるケースも少なくありません。
もし指押しトレーニングで改善が見られない場合は、精密検査が可能になる5歳前後まで成長を見守り、矯正装置を用いた乳歯列矯正へと進むかどうかを判断します。
幼児期に行う乳歯列矯正
きらめきデンタルクリニックでは、乳歯列期に行う矯正治療において、精密検査でセファロレントゲン(頭部X線写真)*を撮影し、骨格の状態を詳細に分析したうえで治療方針を立てています。
お子さま一人ひとりの成長段階や症状を正確に把握し、最適な矯正装置を選択することで、反対咬合の改善を目指します。
一方で、セファロレントゲンによる骨格分析を行わずに矯正を開始することについては注意が必要です。適切な診断がないまま治療を進めると、十分な改善が得られないだけでなく、顎の成長バランスを崩してしまうなど、取り返しのつかない問題を引き起こす可能性もあるからです。
セファロレントゲン(頭部X線写真)* = 歯並びだけでなく「あご・顔全体のバランス」を診るためのレントゲン。歯のレントゲン(パノラマ)ではわからない「骨格そのもののズレ」や「成長の影響」を分析できるのが大きな特徴。

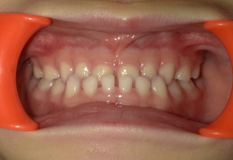
実際の乳歯列矯正治療の例です。前後反対だった前歯の咬み合わせが、正しい咬合に改善されています。
矯正費用について
乳歯列期・混合歯列期に行う1期治療では、成長を利用して咬み合わせやあごのバランスを整える『土台づくり』を行います。
永久歯列期に行う2期治療では、永久歯が生えそろってから歯並び・咬み合わせを整える最終的な仕上げを行います。
当院の矯正治療費は、これら1期治療による土台づくりから、2期治療による最終調整までを含んだ、矯正治療全体のトータル費用です。
乳歯列矯正で使用する装置
当院で乳歯列矯正で主に使用する装置は、
・プレオルソ(マウスピース型装置)
・チンキャップ(下顎の成長を抑える装置)
・上顎骨前方けん引装置(上顎の成長を促す装置)
などで、精密検査で分析をしたうえで適切な装置を選択します。
プレオルソは、歯並びを整える矯正装置ではなく、お口の機能を整えることを目的とした「機能矯正装置」です。
取り外しが可能な上下一体型のマウスピース型装置で、日中1時間と就寝時に装着することで日常生活への負担が少なく、また痛みも少なく、小さい年齢のお子さんでも自身で脱着できるのが特徴です。
ここでいうお口の機能とは、口周りや舌の筋肉の正しい使い方のことをいいます。これらの筋肉のバランスを整えることで、顎や歯を適切な位置に誘導します。
当院では、不正咬合の根本的原因と考えられる口腔周囲筋のバランスの乱れに着目し、単に歯並びを整えるだけでなく、原因から改善する治療に積極的に取り組んでいます。

チンキャップは、下あごの前方への成長を抑えることを目的とした矯正装置です。
反対咬合のお子さまの中には、上あごの成長よりも下あごの成長が強く出てしまうケースがあります。
そのような場合に、チンキャップを使用することで、下あごの成長方向をコントロールし、上下のあごのバランスを整えることを目指します。
上顎骨前方けん引装置は、上あごの成長を前方へ促すための矯正装置です。反対咬合の原因が、下あごの成長過多だけでなく上あごの成長不足にある場合に使用します。
これらの装置はいずれも、成長期において、お口の機能や顎の骨格バランスを整えることを目的とした矯正装置です。歯そのものを動かして歯並びや咬み合わせを整える、いわゆる歯列矯正装置ではありません。
成長期に行う矯正治療では、子どもが本来もつ成長する力を利用しながら、あごの発育バランスやお口周りの筋肉の使い方を整えることで、不正咬合の改善や、将来の本格的な矯正治療の負担軽減を目指します。
まとめ
幼児期は、あごの骨やお口の機能が大きく成長する大切な時期です。
この段階で歯並びの土台となる骨格や機能を整えておくことは、将来的な歯並びや咬み合わせの安定につながるだけでなく、成長後に外科的処置を伴う矯正治療を回避できる可能性を高めることにもつながります。
当院では、精密検査と診断を重視し、お子さまの将来を見据えた乳歯列矯正を行っています。
「今すぐ治療が必要かどうか知りたい」
「様子見でいいのか判断してほしい」
そんな、不安なことのご相談だけでも大歓迎です。お子さまひとりひとりの成長に合わせた最適な方法を一緒に考えていきます。
きらめきデンタルクリニックでは、幼少期から自分自身で自分の歯を守るための正しい知識や定期検診の習慣を身につけられるように、歯が生える前から定期的に歯医者に通っていただくことをお勧めしています。
育児本では得られない歯とお口のプロからの視点で、お口に関する知識やアドバイスをお伝えしています。
これまで10,000人以上の子どものお口を診てきた小児歯科専門だからこそ、お伝えできることがたくさんあります。何かお困りのことがあれば、いつでも私たちにご相談ください。
きらめきデンタルクリニック
〒476-0002 愛知県東海市名和町寺徳1-5
■予約
TEL:052-601-1616
WEB:24時間WEB予約
執筆者
きらめきデンタルクリニック広報 渡辺 加奈江
監修者
きらめきデンタルクリニック理事長 竹内 敬輔
【 資格・所属 】
- 日本矯正歯科学会、日本成人矯正歯科学会、日本小児歯科学会
- 日本咬合育成研究会、全国小児歯科開業医会、名古屋臨床小児歯科研究会
- 日本歯科医師会、愛知県歯科医師会、東海市歯科医師会
詳しい経歴はこちら → 理事長 竹内敬輔の紹介